
レーザーで虫歯を確認します。
上の写真のように虫歯を拡大して見てもらえます。
隙間が空いた状態
隙間を埋めた後歯周病は一般的に、成人の80%がかかるといわれており、また日本人が歯を失う原因の第1位でもあります。
歯周病治療は、ゴールを設定して計画的に治療を行う必要があります。
現状をしっかり理解していただき、治療を継続することが重要です。
当院では骨の再生も含め、あらゆるオプションがあります。
まずはご相談ください。
①顎の関節に問題がある場合
②筋肉に問題がある場合
③咬み合わせに問題がある場合
があります。
治療が必要な場合と生活習慣の改善だけでいい場合とあります。まずはご相談ください。
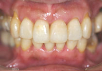
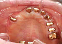
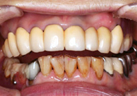
治療前
治療後歯には乳歯と永久歯があります。生後半年ぐらいから生え始めて、10歳ぐらいまで使う乳歯と、6歳ぐらいから生え始めて一生使う永久歯。
どちらも重要な歯です。いずれ抜けてしまう歯といって乳歯のケアを怠っていませんか。乳歯が虫歯になると、永久歯の生え方や顎の発育に大きな影響を及ぼします。
乳歯は歯質が軟らかく、虫歯になりやすいのです。虫歯になってしまうと、乳歯の下で永久歯が出てくる準備ができなくなるというわけです。
虫歯の予防、早期発見のためにも、お子様の定期検診をしてください。
一度、虫歯が歯根まで進行すると、治療の幅はとても狭くなります。
治療を遅らせるか、抜歯をするか、根管治療を受けるかになります。
治療を遅らせることによって歯は絶対に良くなる事は有りません。
また、虫歯がより悪くなる事も考えられます。
もし虫歯が顎骨まで進行してしまうと、痛みはとてもはげしくなり、体中に障害がひろがります。
抜歯はその場凌ぎでしかありません。感染部位をとりのぞいてしまうと、今度は隣り合った歯に影響が出ます。ですので、根っこまで進行した歯を残す方法は根管治療が一番有効です。
このような状態では、快適に生活ができません。
一度咬み合わせの状態を検査することをおすすめします。
| 部分入れ歯 | 総入れ歯 | |
|---|---|---|
| 自費 | ![]() |
![]() |
![]() |
![]() |
|
| 保険 | ![]() |
![]() |
受付時間|月火水金 9:00〜13:00 / 14:00〜18:30
木 9:00〜15:00 / 土 9:00〜17:00 休診|日・祝日
■診療時間
休診日:日曜・祝日 急患随時受付中
| 月 | 火 | 水 | 木 | 金 | 土 | 日 | |
|---|---|---|---|---|---|---|---|
| 9:00~13:00 | |||||||
| 14:00~18:30 |
|
【診療時間変更のご案内】 |
|---|